【媒体贵医】10.4公斤篮球大小肿瘤破裂,贵医附院多学科协作成功切除
近日,贵州医科大学附属医院泌尿外科成功救治一名因巨大肾错构瘤破裂导致大出血的33岁男性患者。该患者肿瘤体积达27cm×25cm,重10.4kg,相当于篮球大小,且已破裂出血,随时可能因失血性休克死亡。在多学科团队紧密协作下,手术团队不仅完整切除肿瘤,更奇迹般地为患者保住了左肾。目前患者恢复良好,已顺利出院。

命悬一线:巨大肿瘤破裂,年轻生命遭遇“生死时速”
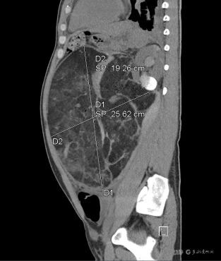
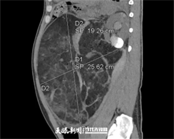
据了解,长期疏于体检的张先生(化名)因突发剧烈腹痛、头晕心慌急诊入院。当时他已出现血压下降、心率加快等休克前兆。急诊CT显示:左肾巨大错构瘤破裂出血,肿瘤体积达27cm×25cm,严重压迫周围脏器,活动性出血持续不止。
“肾错构瘤虽是良性肿瘤,但如此巨大且合并急性破裂大出血,临床上极为罕见。”贵州医科大学附属医院泌尿外科主任李彦锋介绍,患者出血迅猛,若不立即手术,生命危在旦夕。但急诊手术面临两大难题:一是迅速止血挽救生命,二是在巨大肿瘤与正常肾组织紧密粘连的情况下,尽可能保留张先生的左肾功能。

多学科织密“生命防线”,3小时手术成功保肾
时间就是生命。医院立即开通多学科协作绿色通道:介入科先行超高选择性血管栓塞,精准阻断肿瘤主要供血血管;麻醉团队全程精准调控生命体征;输血科紧急保障血源;肝胆外科、胃肠外科严阵以待。
手术台上,团队采取“止血—分离—保肾”策略,将重达10.4kg的肿瘤从正常肾实质表面完整分离,同时精准避开肾门区关键血管。历经3小时奋战,手术成功实现“止血保命+切瘤保肾”双重目标,术中出血控制在1500ml,输血2000ml。
术后检查显示,张先生左肾血流灌注正常,肾功能指标逐步恢复,未出现并发症。在重症监护室观察48小时后转入普通病房,术后第4天即可下床活动,目前已恢复正常饮食排便,顺利康复出院。
“本例患者因肿瘤破裂大出血,必须在休克进展前紧急手术,保肾难度极大。”该院泌尿外科姜锡男副主任医师表示,多学科团队的快速响应与默契协作,让患者既保住了生命,也保住了长远的肾脏功能和生活质量。
专家提醒:定期体检是预防关键
李彦锋主任指出,肾错构瘤是常见良性肿瘤,多数生长缓慢、无症状。但若长期不体检,肿瘤可悄然长至巨大体积,一旦破裂将引发致命性大出血。他呼吁公众重视年度体检,尤其是泌尿系超声检查,早期发现、早期干预,避免悲剧发生。
【科普链接】肾错构瘤是什么?
肾错构瘤(医学名:肾血管平滑肌脂肪瘤)是最常见的肾脏良性肿瘤,由异常血管、平滑肌和脂肪组织构成。多数肿瘤直径小于4cm,只需定期随访;若超过4cm或生长迅速、出现压迫症状、合并破裂出血,则需积极干预。治疗方法包括介入栓塞、肿瘤剜除术、肾部分切除术等,具体方案需结合肿瘤大小、位置及患者肾功能综合评估。定期体检是实现早诊早治的关键。
33岁的张先生怎么也没想到,一次突如其来的腹痛,竟让他直面生死考验。
近日,因长期疏于体检,张先生突发剧烈腹痛并伴头晕心慌,被紧急送至贵州医科大学附属医院。急诊CT检查结果令人震惊:其左肾内长有一个体积达27cm×25cm的巨大错构瘤,并且已经破裂出血。
这个瘤体大小堪比一个篮球,巨大的占位已严重压迫周围脏器。更危急的是,肿瘤破裂导致大出血,患者血压持续下降、心率加快,濒临失血性休克,生命危在旦夕。
急诊CT显示,患者左肾巨大错构瘤已破裂出血。
“虽然肾错构瘤本身是良性肿瘤,但如此巨大的体积合并急性大出血,在临床上极为罕见。”贵州医科大学附属医院泌尿外科主任李彦锋介绍,止血、救命,刻不容缓。但手术面临两大核心挑战:首先是紧急止血,控制活动性出血以挽救生命;其次,要尽可能为患者保留左肾,这对保障其未来的生活质量至关重要。
“然而,这个巨大肿瘤已与正常的肾实质、肾血管紧密粘连,在活动性出血的情况下,术野极易模糊,保肾难度极高,手术过程犹如‘在暴风骤雨中走钢丝’。”李彦锋说。
面对这一复杂危重病例,泌尿外科团队迅速启动应急预案,一场多学科协作的生命保卫战随即打响。
麻醉团队全程精准监护,维持生命体征稳定;输血科保障血源供应;介入科在术前进行了超高选择性血管栓塞以辅助止血;肝胆、胃肠外科专家亦随时待命。在多学科专家紧密配合下,手术形成了“止血-分离-保肾”的精准操作闭环。术中,医生团队小心避开肾门区关键血管,精细地一点点剥离肿瘤组织,最大程度地保留了正常的肾实质。
经过3小时的紧张奋战,手术团队成功将重达10.4公斤的巨大错构瘤完整切除,同时保住了患者的左肾。术中出血1500毫升,输血2000毫升。术后检查显示,患者左肾血流灌注正常,肾功能指标逐步恢复,未出现出血、感染等并发症。
在重症监护室平稳度过48小时后,张先生顺利转回普通病房,术后第4天即可下床活动。目前,患者已恢复正常饮食与排便,即将康复出院,后续仅需定期复查。
李彦锋介绍,肾脏巨大错构瘤通常可行择期手术,但该患者突发瘤体破裂大出血并出现休克,必须紧急手术。在此类危急情况下,为快速止血救命,常需切除整个肾脏。但本例手术中,团队凭借高超技术,实现了切瘤与保肾的双重目标。
“此次成功的紧急多学科协作,实现了‘止血保命+切瘤保肾’,极大提升了患者的远期生活质量。”该院泌尿外科姜锡男副主任医师表示,此例手术不仅突破了巨大肾错构瘤合并急症出血的治疗极限,彰显了该院泌尿外科团队处置复杂危重症的强大实力与精准技术,也为临床处理类似罕见急症提供了宝贵经验,这深刻体现了现代医学“以患者为中心”的救治理念与多学科协作创新的巨大价值。
专家提醒:定期体检是预防关键
李彦锋主任指出,肾错构瘤是常见良性肿瘤,多数生长缓慢、无症状。但若长期不体检,肿瘤可悄然长至巨大体积,一旦破裂将引发致命性大出血。他呼吁,公众应重视年度体检,尤其是泌尿系超声检查,早期发现、早期干预,避免悲剧发生。
科普链接:肾错构瘤是什么?
肾错构瘤(医学名:肾血管平滑肌脂肪瘤)是最常见的肾脏良性肿瘤,由异常血管、平滑肌和脂肪组织构成。多数肿瘤直径小于4cm,只需定期随访;若超过4cm或生长迅速、出现压迫症状、合并破裂出血,则需积极干预。治疗方法包括介入栓塞、肿瘤剜除术、肾部分切除术等,具体方案需结合肿瘤大小、位置及患者肾功能综合评估。定期体检是实现早诊早治的关键。
近日,贵州医科大学附属医院泌尿外科团队成功为一名患者切除左肾巨大错构瘤,并保住了左肾。
危在旦夕!手术难度堪比 “在暴风骤雨中走钢丝”
33 岁的张先生(化名)突发剧烈腹痛伴头晕心慌,来到贵医附院看诊。医生了解到,张先生长期疏于体检,医院急诊CT 检查确诊为左肾巨大错构瘤破裂出血—— 肿瘤体积竟达 27cm×25cm,相当于一个篮球大小!
此时,巨大的占位已严重压迫周围脏器,且肿瘤破裂大出血失血导致患者血压持续下降、心率加快,面临陷入失血性休克的危险境地。虽然肾错构瘤为良性肿瘤,但如此巨大的体积合并急性大出血,在临床上实属罕见,若不及时采取措施,患者将因大出血危及生命。
面对紧急状况,贵医附院泌尿外科团队专家当机立断,立即启动应急预案。在泌尿外科主任李彦锋指导下,在顾昌世教授协助下,姜锡男副主任医生带领朱砂主治医生、唐先圣主治医生迅速对患者进行了急诊手术治疗。
手术治疗面临两大核心难题:一是紧急止血,需控制活动性出血以挽救生命;二是33 岁的患者正值壮年,要尽可能为患者赢得保留肾脏的机会。但巨大肿瘤已与正常的肾实质、肾血管形成紧密粘连,术前预估出血可能会导致术野模糊,难以保全肾脏。因而,既要做到完整切除肿瘤,又要为患者保留肾脏,手术难度堪比 “在暴风骤雨中走钢丝”。
多学科协作!3小时紧张奋战切除10公斤重肿瘤
医院麻醉团队迅速响应,全力协助,全程精准监测生命体征,输血科同步保障血源供应,介入科术前超高选择性血管栓塞,肝胆、胃肠随时响应,准备迎战。在多学科专家协作下,整体手术过程形成 “止血 - 分离 - 保肾” 的闭环操作。历经3小时的紧张奋战,手术团队成功将重达10.4kg 的巨大错构瘤完整切除,同时保住了患者的左肾。术中出血1500ml,输血2000ml。
术后检查显示,患者肾血流灌注正常,肾功能指标逐步恢复,未出现出血、感染等并发症。在重症监护室观察 48 小时后,张先生则顺利转入普通病房,术后第4 天即可下床活动,目前患者已恢复正常饮食排便,即将顺利出院,后续只需定期复查随访。
此次手术的成功,不仅突破了巨大肾错构瘤合并急症出血的治疗极限,更体现了贵医附院泌尿外科团队在复杂重症救治中的精准判断力与技术实力。
扫一扫 手机端浏览




