【媒体贵医】| 贵医附院成功开展骨盆及骶骨恶性肿瘤切除与重建手术
近日,贵州医科大学附属医院(以下简称“贵医附院”)骨科宁旭、张皓、王丰岩骨肿瘤团队联合院内多学科力量协同攻坚,成功为一名复杂骨盆恶性肿瘤患者实施“精准肿瘤切除+骨盆功能重建”手术。
据了解,骨盆区域解剖结构错综复杂,I/IV区骨盆肿瘤病灶紧邻盆腔脏器、髂血管等关键组织,且肿瘤往往侵犯骶神经。此类手术素来是骨科领域的高难度挑战,术中稍有不慎便可能引发大出血、神经及脏器损伤等严重并发症,对手术团队的术前规划、术中操作及多学科配合都提出了极致要求。
本次贵医附院收治的是一名41岁女性患者,术前穿刺病理诊断为侵袭性骨巨细胞瘤,右侧臀部巨大肿物对髂血管、骶神经以及坐骨神经造成明显压迫及侵袭,造成患者右侧大腿疼痛并向右下肢放射痛、髋关节活动障碍等症状,严重影响日常生活。
患者入院后,贵医附院骨科王丰岩骨肿瘤团队高度重视,第一时间组织多学科病例研讨,汇聚该院骨科、麻醉科、影像科、肛肠外科、介入科、病理科、输血科等多个学科的核心诊疗力量,结合患者影像学检查、病理分型及肿瘤周围组织侵犯程度,详细制定了个性化的肿瘤切除+骨盆功能重建方案,以及围绕手术期麻醉管理、血液管理、疼痛管理方案。
此外,骨肿瘤团队还充分考量术后骨盆形态缺如的核心问题,创新性运用3D仿生打印技术,为患者定制匹配骨盆缺如形态的内植入假体,依托假体表面多孔结构,实现假体-骨界面的有效整合,在维持术后骨盆环完整性的同时,为假体远期稳定性以及术后功能最大化恢复筑牢基础。
在骨科骨肿瘤团队的统筹下,麻醉科、手术室、输血科等多个科室提前介入、周密筹备,从术前麻醉方案的个性化制定、术中器械的精准调配与操作配合,到术中影像学透视的实时支撑,各科室各司其职、默契衔接,形成了一条从术前评估、手术实施到术中保障以及术后康复的全流程协作链条。
此次复杂骨盆恶性肿瘤精准切除与重建手术的顺利完成,是贵医附院骨科在复杂骨肿瘤诊疗领域的又一次技术突破,不仅印证了骨肿瘤团队对复杂骨肿瘤诊断的精准性、治疗的有效性,更标志着该院3D仿生打印技术在骨科领域的应用已日趋成熟,成为骨肿瘤切除术后骨骼替代与功能重建的重要技术支撑。
“贵医骨科是贵州省骨肿瘤专业质量控制组长单位,是全省最大的骨与软组织肿瘤救治中心,大量的疑难骨肿瘤患者汇聚于此。”贵医附院骨科主任宁旭表示,作为贵州省内最早成立骨与软组织肿瘤诊疗的单位之一,贵医附院骨科始终深耕复杂骨肿瘤精准诊疗领域,凭借扎实的技术积淀、精准的诊疗方案与高效的多学科协作体系,持续突破高难度手术瓶颈,成熟开展各类复杂骨科肿瘤大型手术的综合救治能力。(贵州医科大学附属医院骨科)
近日,贵州医科大学附属医院骨科骨肿瘤团队联合多学科,为一名复杂骨盆恶性肿瘤患者实施肿瘤切除与骨盆功能重建手术。手术过程顺利,患者术后疼痛缓解,肢体功能正逐步康复。
该患者为41岁女性,术前穿刺病理诊断为侵袭性骨巨细胞瘤。骨巨细胞瘤是一种常见的原发性骨肿瘤,好发于20-40岁青壮年,虽多为良性,但具有局部侵袭性,可破坏骨骼结构,压迫周围神经血管。患者肿瘤位于骨盆I/IV区——即骶骨与髂骨区域,此处解剖结构复杂,紧邻髂血管、骶神经及坐骨神经,肿瘤已对这些关键组织造成明显压迫及侵袭,导致患者出现右侧大腿及下肢放射痛、髋关节活动障碍等症状。

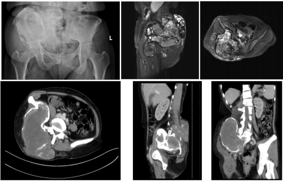
图1术前影像学检查。影像学提示骶骨及髂骨区巨大肿瘤,肿瘤对周围组织形成压迫并且造成骨盆垂直移位。
由于骨盆I/IV区肿瘤位置深在,周围血管神经丰富,手术中稍有不慎即可能引发大出血或神经损伤,是骨科领域公认的高难度挑战。术前,骨肿瘤团队组织多学科会诊,包括麻醉科、影像科、肛肠外科、介入科、病理科、输血科等,结合影像学检查和病理分型,制定了个体化手术方案。
为在根治性切除肿瘤的同时重建骨盆完整性,团队采用3D仿生打印技术,为患者定制了与骨盆缺损形态匹配的内植入假体。该假体基于患者术前高精度CT数据设计,表面具有多孔结构,可诱导自体骨细胞长入,实现假体与骨界面的生物融合,从而增强远期稳定性,为术后功能恢复创造条件。

图2 术前肿瘤切除规划与假体设计
手术由骨肿瘤团队统筹,麻醉科、手术室、输血科等多科室协作完成。术中团队实施肿瘤根治性切除,并完成骨盆功能重建。术后影像学显示,定制型半骨盆位置良好,假体-骨界面有效接触。

图3术后复查影像学。定制型半骨盆位置良好,假体-骨界面有效接触。
本次手术的成功,体现了多学科协作在复杂骨肿瘤诊疗中的重要作用,也展示了3D仿生打印技术在骨肿瘤切除后骨骼替代与功能重建中的应用价值
近日,贵州医科大学附属医院骨科宁旭、张皓、王丰岩骨肿瘤团队联合院内多学科力量协同攻坚,成功为一名复杂骨盆恶性肿瘤患者实施精准肿瘤切除+骨盆功能重建手术。
本次手术的成功开展不仅为患者解除病痛、重建肢体功能带来了新希望,也同时表明贵医附院在复杂骨盆肿瘤精准诊疗领域的领先实力与硬核救治能力,业已成为医院骨科技术水平与多学科协作能力的又一标志性成果。
骨盆区域解剖结构错综复杂,I/IV区骨盆肿瘤病灶紧邻盆腔脏器、髂血管等关键组织,且肿瘤往往侵犯骶神经。此类手术素来是骨科领域的高难度挑战,术中稍有不慎便可能引发大出血、神经及脏器损伤等严重并发症,对手术团队的术前规划、术中操作及多学科配合都提出了极致要求。此次收治的患者是一名41岁女性,术前穿刺病理诊断为侵袭性骨巨细胞瘤,右侧臀部巨大肿物对髂血管、骶神经以及坐骨神经造成明显压迫及侵袭,造成患者右侧大腿疼痛并向右下肢放射痛、髋关节活动障碍等症状,严重影响患者的日常生活。总的来说,该患者病情复杂、手术指征明确,能否实现肿瘤根治性切除并重建骨盆完整性及稳定性同时最大程度保留骶神经功能是诊疗团队面前的亟待解决关键难题。
术前影像学检查。影像学提示骶骨及髂骨区巨大肿瘤,肿瘤对周围组织形成压迫并且造成骨盆垂直移位。
精准施策,为患者定制个性化诊疗方案
患者入院后,骨肿瘤团队高度重视,第一时间组织多学科病例研讨,汇聚贵医附院骨科、麻醉科、影像科、肛肠外科、介入科、病理科以及输血科等多个学科的核心诊疗力量,结合患者影像学检查、病理分型及肿瘤周围组织侵犯程度,详细地为该名患者量身定制了个性化肿瘤切除+骨盆功能重建方案,同时也制定了围手术期麻醉管理、血液管理以及疼痛管理方案。
骨肿瘤团队充分考量术后骨盆形态缺如的核心问题,创新性运用3D仿生打印技术,为患者定制匹配骨盆缺如形态的内植入假体,依托假体表面多孔结构,实现假体-骨界面的有效整合,在维持术后骨盆环完整性的同时,为假体远期稳定性以及术后功能最大化恢复筑牢基础。这一精准化、个性化的诊疗思路,充分体现了该院骨科团队在骨肿瘤诊疗中“根治肿瘤+功能重建”的双重诊疗理念。
多学科联动,为患者手术安全筑牢防线
这台高难度复杂手术的成功,离不开贵医附院院内多学科的同心聚力、高效配合。
在骨科骨肿瘤团队的统筹下,麻醉科、手术室、输血科等多个科室提前介入、周密筹备,从术前麻醉方案的个性化制定、术中器械的精准调配与操作配合,到术中影像学透视的实时支撑,各科室各司其职、默契衔接,形成了一条从术前评估、手术实施到术中保障以及术后康复的全流程协作链条。凭借“召之即来、来之能战”的专业协作能力,为手术顺利开展扫清一切障碍,让高难度手术在精准把控中稳步推进,最终成功为该患者完成肿瘤根治性切除与骨盆区域功能重建。
目前患者疼痛明显缓解,肢体功能正逐步康复中。
技术赋能,硬核实力铸就行业标杆
此次复杂骨盆恶性肿瘤精准切除与重建手术的顺利完成,是贵医附院骨科在复杂骨肿瘤诊疗领域的又一次技术突破,不仅印证了骨肿瘤团队对复杂骨肿瘤诊断的精准性、治疗的有效性,更标志着该院3D仿生打印技术在骨科领域的应用已日趋成熟,成为骨肿瘤切除术后骨骼替代与功能重建的重要技术支撑。
贵医附院骨科主任宁旭介绍,贵医骨科是贵州省骨肿瘤专业质量控制组长单位,是贵州省最大的骨与软组织肿瘤救治中心,大量的疑难骨肿瘤患者汇聚于此,作为贵州省内最早成立骨与软组织肿瘤诊疗的单位之一,贵医附院骨科始终深耕复杂骨肿瘤精准诊疗领域,凭借扎实的技术积淀、精准的诊疗方案与高效的多学科协作体系,持续突破高难度手术瓶颈,成熟开展各类复杂骨科肿瘤大型手术的综合救治能力。
“未来,贵医附院骨科将继续以技术创新为引领,深耕骨肿瘤精准诊疗领域,不断完善多学科协作诊疗体系,持续提升3D打印等前沿技术在骨科的临床应用水平,以更精湛的医疗技术、更优质的诊疗服务,为区域内骨肿瘤患者带来更坚实的健康保障。”
扫一扫 手机端浏览




