【媒体贵医】22厘米腹膜后巨瘤“炸弹”成功“拆除”
【人民网】贵医附院:22厘米腹膜后巨瘤“炸弹”成功“
近日,贵州医科大学附属医院(以下简称“贵医附院”)泌尿外科成功实施一长径达22厘米以上的巨大腹膜后肿瘤手术,不仅帮助患者彻底摆脱了致命性威胁和病痛,而且充分展现了泌尿外科团队在复杂腹膜后肿瘤治疗领域的技术实力与责任担当,也为复杂性巨大腹膜后肿瘤的治疗提供了宝贵的实践经验和典型范例。
今年6月,57岁的黎先生顶着巨大的肚子来到了贵医附院泌尿外科就诊。事发半年前,黎先生发现自己的肚子日渐长大,却没有任何不适,起初他还以为自己是喝啤酒长胖了,直到身边的亲戚朋友多次提到“胖的只有肚子,但四肢仍然纤细!”,而且圆鼓鼓的肚子已经开始引起行动不便,这才慢慢引起他的注意。
然而,多家医院均因为其肿瘤巨大而拒绝收治。一次,黎先生突感腹部剧痛难忍,万般无奈,抱着试一试的心理来到贵阳,但由于检查发现肿瘤巨大,与腔静脉、右肾静脉紧密粘连,并压迫右侧肾脏、肝脏和肠道,屡屡碰壁,直到黎先生经人推荐来到贵医附院泌尿外科。
泌尿外科团队迎难而上,技术实力破局! 由于腹膜后巨大肿瘤本身发病率低、位置特殊、手术难度大,手术风险高,面对复杂病情,泌尿外科顾昌世医师团队联合麻醉科、重症医学科、肝胆外科、胃肠外科、医学影像科、手术室护理团队等多学科专家积极开展全院会诊。
术前,通过反复论证,仔细分析肿瘤与周围器官、血管等结构的关系,为患者量身定制个体化手术方案及充分的应急预案。7月2日,由顾昌世主任亲自挂帅,姜锡男副主任医师、邹雄主治医师、刘淼主治医师组成核心手术团队,凭借深厚的解剖功底和丰富的手术经验,向这颗“定时炸弹”发起挑战。
尽管泌尿外科医生处理腹膜后肿瘤司空见惯,但真正打开患者腹腔的时候还是让他们震惊了:这个肿瘤长径达22厘米,且与腹腔脏器粘连严重,周边大血管环绕,剥离难度远超常规预期,这给手术团队带来了巨大挑战。
无影灯下,泌尿外科手术团队如同精密的仪器协同运转,配合默契。手术刀精准避开重要血管和神经丛,如同在雷区中谨慎穿行,凭借对腹膜后解剖结构的精深理解和娴熟技术,成功实现了对这颗重达8斤多的巨瘤“炸弹”的成功“拆除”。术后,患者转入重症医学科团队进行密切监护、精心治疗。目前,黎先生已经顺利度过危险期,短期内就可顺利出院。
顾昌世回顾这台高难度手术时坦言,泌尿外科之所以敢于承担高风险手术的重任,既源于团队在复杂病例处理中积累的临床经验,更基于“生命至上”的医者本分。“我们始终以审慎评估为前提,以全力护航为准则,在技术边界的探索中保持敬畏。”
这台成功手术不仅解除了患者的巨大痛苦,更充分展示了贵医附院泌尿外科在处理超常规腹膜后巨大肿瘤方面的顶尖技术水平和勇于担当的精神。接下来,贵医附院泌尿外科将继续精研技术,挑战“禁区”,为守护贵州及周边地区人民的泌尿系统健康保驾护航。
【动静医生】医生从他的体内“拆出”8斤重巨瘤
“感觉肚子一下子空了,终于能挺直腰板走路!”57岁的黎先生摸着平坦的腹部,眼眶泛红。
贵州医科大学附属医院泌尿外科团队近日完成一例堪称“拆弹”的手术——从患者腹膜后完整取出长22厘米、重达8斤的恶性肿瘤。

“炸弹”压垮中年人:多家医院拒收,贵阳医生接下“生死状”
半年前,黎先生的腹部逐渐隆起如孕晚期孕妇,却因无疼痛感未引起重视。直到剧烈腹痛发作,检查才发现腹膜后藏着巨型肿瘤:它像一棵盘根错节的“毒树”,根系紧紧缠绕下腔静脉、右肾静脉,压迫肾脏、肝脏和肠道。“这种位置的肿瘤,稍有不慎就会引发大出血,很多医院不敢接。”贵州医科大学附属医院泌尿外科副主任医师顾昌世说。
4小时生死博弈:在血管雷区“雕刻”生命通道
手术当天,贵州医科大学附属医院泌尿外科团队与麻醉科、重症医学科等专家组成“拆弹部队”,在直径不足1厘米的血管间隙中精准剥离肿瘤:“就像在雷区里拆炸弹,每一步都要计算千百次。”顾昌世说
经过4小时手术,这颗重达8斤的“定时炸弹”被完整取出,术中出血量仅300ml。

顾昌世表示,腹膜后肿瘤因位置隐蔽、恶性率高,素有“手术禁区”之称,而此次手术突破了三大难关:
巨型肿瘤剥离:肿瘤体积打,粘连复杂血管;
无标准术式创新:依托团队解剖功底制定个性化方案;
多学科实时保驾:麻醉、重症团队全程护航生命体征。
目前,黎先生已脱离危险期,即将出院。

新闻延伸:腹膜后肿瘤为何被称为“沉默杀手”?
医学资料显示,腹膜后肿瘤早期无特异性症状,约70%患者确诊时肿瘤已超过10cm。专家提醒:若出现不明原因腹部膨隆、腰背疼痛,需及时排查腹膜后病变。
【天眼新闻】贵阳一男子腹部“装”8斤多巨大肿瘤,医生化身“拆弹专家”
贵州医科大学附属医院泌尿外科团队近日打赢一场惊心动魄的“生命保卫战”。该团队成功为一名患者切除了长径超过22厘米、重达8斤多的巨大腹膜后肿瘤,不仅挽救了患者生命,也充分展现了该院在处理复杂腹膜后肿瘤领域的顶尖技术实力与责任担当,为同类复杂病例提供了宝贵经验。

手术中
患者黎先生(57岁)的求医之路充满坎坷。记者了解,半年前,黎先生发现其腹部异常隆起,但无不适感,一度误以为是肥胖。然而,这种“四肢纤细、腹部如足月孕妇”的异常状态,加之逐渐出现的行动不便,让他意识到问题严重。遗憾的是,因肿瘤巨大且位置险恶,多家医院均拒绝收治。
一周前,剧烈的腹部疼痛让黎先生痛苦不堪,经人推荐,他抱着一线希望来到贵州医科大学附属医院泌尿外科寻求帮助。检查显示,巨大的肿瘤不仅压迫右侧肾脏、肝脏和肠道,还与下腔静脉、右肾静脉等重要血管紧密粘连,手术风险极高。
面对复杂棘手的病情,贵医附院泌尿外科顾昌世主任团队迎难而上。该团队联合麻醉科、重症医学科、肝胆外科、胃肠外科、医学影像科及手术室护理团队等多学科专家进行全院会诊。术前反复论证,仔细分析肿瘤与周围器官、血管的复杂关系,为患者量身定制了个体化手术方案及详尽的应急预案。
7月2日,手术“拆弹”行动正式展开。由顾昌世主任亲自挂帅,姜锡男副主任医师、邹雄主治医师、刘淼主治医师组成核心手术团队。尽管经验丰富,但打开腹腔后,肿瘤与腹腔脏器的严重粘连程度以及周围密集的大血管,其剥离难度远超术前预期,给团队带来巨大挑战。
手术团队凭借深厚的解剖功底和精湛的手术技艺,如同在精密仪器上操作,在“雷区”中谨慎穿行,最终成功将这枚重达8斤多的“定时炸弹”完整切除。
术后,患者转入重症医学科进行密切监护和精心治疗。目前,已顺利度过危险期,即将康复出院。
回顾这台高难度手术,顾昌世强调了技术实力与医者担当的结合。 他表示:“泌尿外科敢于承担此类高风险手术,既源于团队在复杂病例中积累的丰富经验,更基于‘生命至上’的医者本分。我们始终以审慎评估为前提,以全力护航为准则,在探索技术边界时保持敬畏。面对其他医院望而却步的复杂病例,我们有责任也有能力为患者‘拆弹’。”
顾昌世介绍,此次手术的成功,不仅是患者个人的重大转机,更是贵医附院泌尿外科综合实力的有力证明。它充分展示了该团队在处理超常规腹膜后巨大肿瘤方面的顶尖技术水平、卓越的多学科协作能力和勇于担当的精神,再次巩固了在复杂危重泌尿系统疾病诊治领域的领先地位。贵州医科大学附属医院泌尿外科将继续精研技术,挑战“禁区”,为守护区域人民的泌尿系统健康保驾护航。
【延伸阅读】
为何腹膜后肿瘤常“悄无声息”长成巨瘤?
原发性腹膜后肿瘤源于腹膜后潜在腔隙(非胰、肾、肾上腺等器官),多来自脂肪、筋膜、肌肉、神经、血管等组织,较为罕见(仅占全身肿瘤0.1-0.2%),其中约60%-85%为恶性。其特点显著:
隐匿性强:初期体积小通常无症状,待症状显现时肿瘤已巨大,不易早期发现。
解剖复杂、手术难度高:腹膜后区域结构复杂,大血管密集,多数外科医生不熟悉,且缺乏标准术式,加之发病率低,导致许多医生知难而退。
生长特性特殊:虽多数为恶性,但恶性程度较低,生长缓慢,常推挤而非浸润周围器官血管,远处转移也少见。这些特点共同解释了患者求医过程中的曲折经历。手术治疗目前仍是多数腹膜后肿瘤最有效的方法。
【贵州健康报】极限挑战!贵州医科大学附属医院成功“'拆除”腹膜后巨型瘤
7月2日,贵州医科大学附属医院泌尿外科成功实施一例直径约22cm的巨大腹膜后肿瘤手术,帮助患者彻底摆脱了致命性威胁和病痛,也为复杂性巨大腹膜后肿瘤的治疗提供了宝贵的实践经验和典型范例。
今年6月,57岁的患者黎先生“顶着”巨大的肚子来到了贵医附院泌尿外科就诊。早在半年前,黎先生发现自己的肚子日渐长大,却没有任何不适,起初他还以为自己是喝啤酒长胖了。但是,肚子突出,四肢纤细,让其行动不便,黎先生开始重视这“巨大”的肚子,于是开始四处求医。
就在一周前,黎先生突感腹部剧痛难忍,于是,他来到贵医附院。行相关检查后,发现患者体内肿瘤巨大,与腔静脉、右肾静脉紧密粘连,并压迫右侧肾脏、肝脏和肠道。

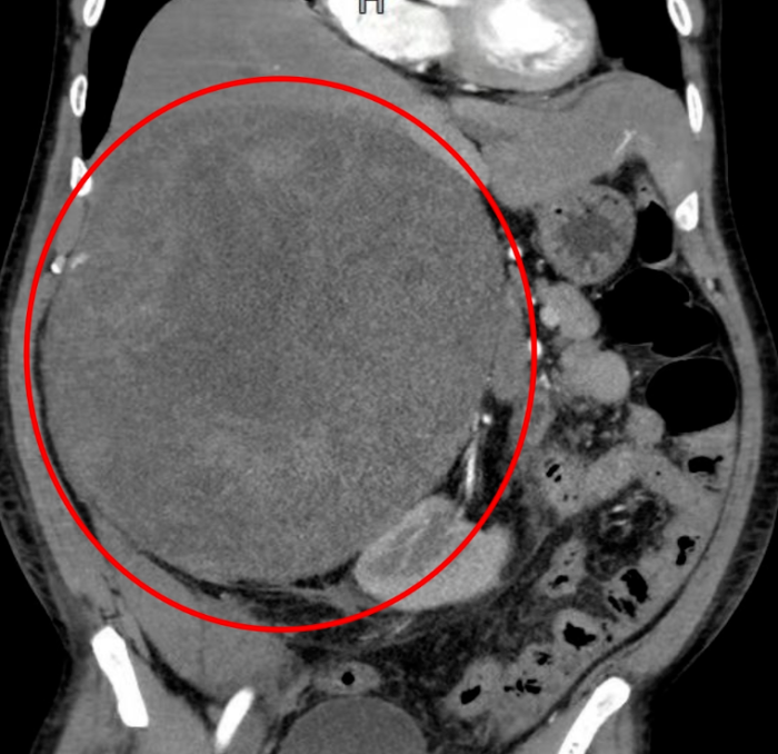
术前CT影像,红圈处为肿瘤。
贵医附院泌尿外科初步诊断其为腹膜后巨大肿瘤。由于腹膜后巨大肿瘤本身发病率低,黎先生肿瘤位置特殊,手术难度大,且手术风险高。鉴于患者病情复杂,泌尿外科联合麻醉、重症医学、肝胆、胃肠、影像等多科室和手术护理团队的多名专家紧急开展会诊。
经过反复论证,专家们仔细分析肿瘤与周围器官、血管等结构的关系,为患者量身定制个体化手术方案及充分的应急预案。
7月2日,贵医附院泌尿外科顾昌世主任团队凭借深厚的解剖功底和丰富的手术经验,向这颗“定时炸弹”发起“进攻”。尽管泌尿外科医生处理腹膜后肿瘤司空见惯,但真正打开患者腹腔的时候还是让他们震惊了,这个肿瘤长径达22cm,巨大的肿瘤与腹腔脏器粘连严重,且周边大血管环绕,剥离难度远超常规预期,这给手术团队带来了巨大挑战。
无影灯下,泌尿外科手术团队如同精密的仪器协同运转,配合默契。手术刀精准避开重要血管和神经丛,如同在雷区中谨慎穿行,凭借对腹膜后解剖结构的精深理解和娴熟技术,成功实现了对这颗重达8斤多的巨瘤“炸弹”的成功“拆除”。
手术成功!术后患者转入重症医学科团队进行密切监护、精心治疗。
目前,黎先生已经顺利渡过危险期,短期内就可顺利出院。
那么,到底什么是腹膜后肿瘤?该肿瘤为何如此之大?其又有什么特殊之处呢?顾昌世介绍,原发性腹膜后肿瘤是指起源于腹膜后潜在腔隙,并排外胰、肾、肾上腺、血管等的肿瘤,主要来源于脂肪组织、筋膜、血管、肌肉、神经、淋巴组织及胚胎残留组织等。该病发病率较低,仅占全身肿瘤的0.1-0.2%,约60%-85%为恶性。其组织类型繁多,且目前放化疗对许多腹膜后肿瘤都不敏感,外科手术切除仍是治疗腹膜后肿瘤最有效的方法。
腹膜后肿瘤有几个特点:第一,肿瘤发展初期阶段体积较小时,多数病人无自觉症状,等到有症状时肿瘤已经很大,所以这类肿瘤不容易被早期发现;第二,腹膜后区域结构复杂,大血管多,多数外科医生不熟悉这个区域,一般教科书也没有关于此类肿瘤的标准术式,加上这类肿瘤发病率比较低,所以多数医生对这类手术知难而退;第三,这类肿瘤多数是恶性,但恶性程度较低,生长慢,对周围器官及血管多是推挤而不是浸润,肿瘤也很少向远处转移。
“这台成功手术不仅解除了患者的巨大痛苦,更充分展示了贵州医科大学附属医院泌尿外科在处理超常规腹膜后巨大肿瘤方面的顶尖技术水平和勇于担当的精神。这一案例的成功是泌尿外科综合实力的体现,也印证了团队在复杂、危重泌尿系统疾病诊治领域的领先地位。”顾昌世说,科室将继续精研技术,挑战“禁区”,为守护贵州及周边地区人民的泌尿系统健康保驾护航。